News

New Air Force Fitness Standards 2026: What Airmen Must ...

The Department of the Air Force has officially unveiled the new air force fitnes...

Minnesota State Senator Nicole Mitchell Sentenced After...

Minnesota State Senator Nicole Mitchell’s fall from public office has captured s...

Explosive Twist as James Comey Faces Possible Indictmen...

The name James Comey has once again surged to the forefront of U.S. politics as ...

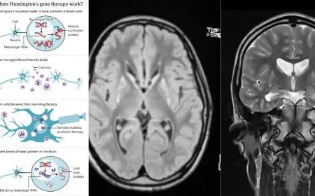
Breakthrough Gene Therapy Shows Hope for Huntington’s D...

Huntington’s disease has long been considered one of the most devastating geneti...

Dallas ICE Facility Shooting: Sniper Attack by Joshua J...

The city of Dallas Texas was shaken after an active shooter Dallas incident unfo...

Massive Sinkhole Bangkok Halts City Traffic and Services

A massive sinkhole Bangkok has disrupted a central district, forcing evacuations...

Gene Therapy Breakthrough Shows Promise in Slowing Hunt...

A major advance has been reported in the fight against Huntington’s disease, wit...

Jimmy Kimmel’s Explosive Monologue Return: Late-Night H...

Jimmy Kimmel has officially returned to his late-night platform with a fiery and...

Adrian Portelli Steps In to Rescue Derrimut Gyms Amid $...

Adrian Portelli Derrimut gyms involvement has sparked major attention as the ent...

Spaghetti Models Show Uncertain Path for Hurricane Gabr...

Hurricane Gabrielle 2025 has strengthened into a powerful Category 4 storm in th...

Adrian Portelli Steps In to Rescue Troubled Derrimut Gyms

Billionaire businessman Adrian Portelli has confirmed plans to back Derrimut 24:...

Stansted Airport Fire Causes Evacuation and Major Trave...

A stansted airport fire in the early hours of September 24 forced the evacuation...

Ryan Routh Verdict: Full Details on Court Ruling, Key E...

The trial of Ryan Wesley Routh has gripped the nation, drawing attention to issu...

Berlin Player Wins 120 Millionen Eurojackpot: All the E...

The 120 Millionen Eurojackpot has finally been cracked, and the lucky eurojackpo...

Is the Rapture Happening Today? Why September 23 Raptur...

In recent weeks, a South African preacher named Joshua Mhlakela claimed that Jes...

Tragic Case of Celeste Rivas Hernandez: What We Know So...

The mysterious death of celeste rivas hernandez has drawn national attention aft...